RESEARCH

Home RESEARCH AI iNPH Solution

Recent Research

뇌 기반 정상압수두증(iNPH) 바이오마커
자동정량 분류 솔루션

AICU의 최신 연구 성과인 'AI iNPH Diagnosis Support System'은 복잡한 뇌 질환 감별을 위한 혁신적인 AI 솔루션입니다.

치료 가능한 치매, iNPH의 조기 발견

정상압수두증(idiopathic Normal Pressure Hydrocephalus, iNPH)은 조기에 발견하여 수술하면 완치가 가능한 '치료 가능한 치매'입니다. 하지만 알츠하이머병(Alzheimer's Disease, AD)과 증상이 유사하여 오진율이 높고 감별이 어렵습니다.

AICU는 뇌 MRI 영상 분석을 통해 iNPH 환자를 불필요한 검사 없이 정확하게 선별하고, 예후를 예측하여 환자의 삶의 질을 높이는 것을 목표로 합니다.

Brain MRI Analysis

Key Features

1. Automated Quantification

정밀한 뇌 구조 자동 정량화

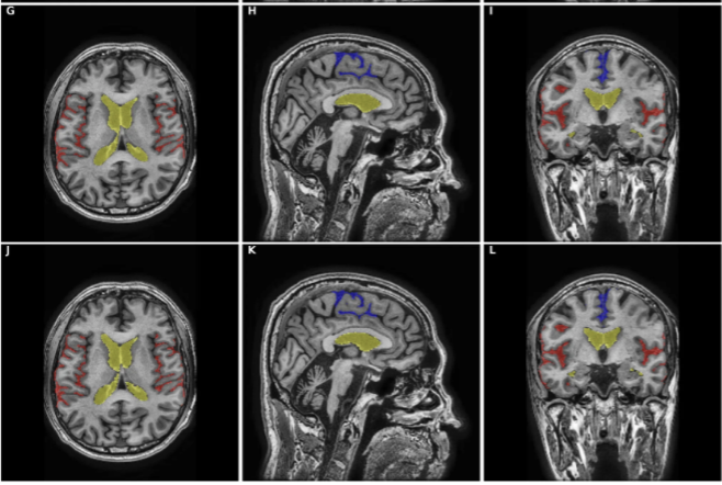
AI 모델이 MRI 영상에서 해마, 측뇌실, 지주막하 공간 등 주요 뇌 영역을 자동으로 분할하고 부피를 측정합니다.

  • Evan's Index 자동 산출: iNPH 진단의 핵심 지표 자동 측정
  • Callosal Angle 분석: 뇌량각 정밀 측정 지원
  • DESH 징후 판별: 불균형적 지주막하 공간 확장 여부 분석
Quantification UI

2. AI Diagnosis Support

iNPH vs AD 감별 진단 예측

임상 데이터를 학습한 딥러닝 모델이 iNPH와 알츠하이머병(AD), 정상군(HC)을 높은 정확도로 분류합니다.

  • 예측 확률 제공: 의료진의 의사결정을 돕는 객관적 수치 제시
  • 신뢰도 점수: XAI(Explainable AI) 기술을 적용하여 판단 근거 시각화
Diagnosis Dashboard

3. Automated Reporting

원클릭 임상 리포트 생성

분석된 모든 정량 데이터와 진단 예측 결과, 주요 MRI 슬라이스를 포함한 상세 리포트를 자동으로 생성하여 PACS/EMR 시스템과 연동합니다.

  • 주요 해부학적 구조 3D 시각화
  • 연령/성별 대비 뇌 위축 정도 비교 그래프 (Normative Curves)
Automated Report

Technology Stack

  • Python
  • PyTorch (Deep Learning)
  • Qt (GUI)
  • DICOM Protocol